你有没有发现,最近网上有个东西特别火,那就是“19视频”!没错,就是那个让你笑到肚子疼,又或者感动到泪流满面的短视频平台。今天,...
你是不是也和我一样,长时间对着电脑工作,感觉脖子酸酸的,颈椎不舒服呢?别担心,今天我要给你分享一组特别实用的颈椎保健动作,跟着我...
你知道吗?最近网上有个特别火的视频,就是掏耳朵的!是不是听起来有点奇怪?别急,听我慢慢道来,保证让你大开眼界!掏耳朵视频:一场视...
你有没有想过,在忙碌的生活中,来一段拉丁舞舞蹈视频,不仅能让你放松心情,还能让你的身体跟着节奏摇摆起来呢?没错,今天就要带你走进...
你有没有想过,在寒冷的冬日里,有一群人穿着五彩斑斓的溜冰鞋,在冰面上翩翩起舞,那画面简直美得不要不要的?没错,我要说的就是那群充...
篮球迷们,是不是每次投篮都感觉力不从心,总是差那么一点点就能命中篮筐?别急,今天我要给你带来一份大礼——投篮姿势教学视频!没错,...
你有没有发现,最近时装秀的视频在网络上可是火得一塌糊涂呢!那些时尚达人们穿着各式各样的潮流服饰,在T台上摆出各种酷炫的姿势,简直...
最近网上闹得沸沸扬扬的,说的是学校里竟然出现了不雅视频!这事儿可大可小,咱们得好好聊聊。你有没有想过,这样的视频为什么会出现在学...
亲爱的读者们,你是否曾在某个闲暇的午后,无意间点开了一个视频,然后就被那独特的旋律和节奏深深吸引?今天,就让我带你走进一个充满活...
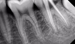
最近是不是牙齿疼得你坐立不安,连笑容都变得苦涩了呢?别担心,今天就来给你揭秘一下那个听起来有点吓人的根管治疗,让你对这个过程有个...